CABINET DENTAIRE DU DOCTEUR ELVIRE RÉGILLE KUETCHE
Accueil
Le cabinet
Français
English
Deutsch
Español
Italiano
Les soins du cabinet
Les implants
Le blanchiment dentaire
Plan d'accès
Vidéos 3D
Urgence
Questionnaire pré-RDV
Prendre RDV
Contact
167 Avenue Gabriel Péri, 92230 GENNEVILLIERS
Disponible aujourd'hui de 10h30 à 14h et de 14h30 à 18h
+33 1 47 98 43 32
CABINET DENTAIRE DU DOCTEUR ELVIRE RÉGILLE KUETCHE
Accueil
Le cabinet
Français
English
Deutsch
Español
Italiano
Les soins du cabinet
Les implants
Le blanchiment dentaire
Plan d'accès
Vidéos 3D
Urgence
Questionnaire pré-RDV
Prendre RDV
Contact
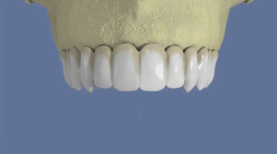
Maxillaire : bridge vissé sans fausse gencive
Vidéos 3D
Précédent
La résection apicale
Suivant
Fixation d’une prothèse par une barre sur 4 implants
Articles similaires
Le comblement de sinus par abord crestal
Vidéos 3D
Maxillaire : all-on-4
Vidéos 3D
Comblement de sinus par voie latérale et implantation simultanée
Vidéos 3D
Mandibule complète et traitement implantaire pour un bridge fixe vissé
Vidéos 3D
Partager
Twitter
Partager
Partager
Envoyer
Copier
Catégories
À la une
(10)
Informations pratiques
(9)
L'équipement du cabinet dentaire
(6)
L'orthodontie
(20)
Les choix esthétiques
(10)
Les dents chez l'adulte
(7)
Les dents de l’enfance à l’adolescence
(13)
Les dents et la santé
(22)
Les gencives
(23)
Les implants
(24)
Les pathologies bucco-dentaires
(29)
Les prothèses
(33)
Omnipratique
(197)
Prendre soin des dents
(17)
Politique de confidentialité et charte cookie
Mentions légales
Conditions Générales Utilisation
Charte déontologique
Ordre national
Annuaires chirurgiens dentistes
LE BLANCHIMENT DES DENTS "AU FAUTEUIL
L'ESTHÉTIQUE DU SOURIRE
LA TECHNIQUE INVISALIGN® – ALIGN TECHNOLOGY
L'ORTHODONTIE INVISIBLE
Création par
Connexion